
Labor Day – Do You Know the History?
Do you know why we celebrate Labor Day? Labor Day is a federal holiday in the USA and has been since June 28, 1894 when

Do you know why we celebrate Labor Day? Labor Day is a federal holiday in the USA and has been since June 28, 1894 when

For you history buffs, did you know that archaeologists found crooked teeth in human remains dating back 50,000 years as reported by Norman Wahl in

Sun Safety is important as kids are spending more time outside this summer when families go to outdoor outings and head to vacation destinations. With

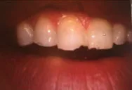
Orthodontic Emergencies can happen anywhere at any time. School is out for most parts of the country and soon most of you will be on

As Independence Day, July 4th, rapidly approaches, it’s clear we are already more than halfway into the year and more importantly … summer has arrived.

Grinding teeth and clenching is a very common problem and it has been found that 70% of people clench or grind their teeth as a

Along with Lily Allen, Paris Hilton, and Emile Hirsch, Ariana Grande has become the most recent pop diva to share her personal dental experience on
Sports professionals in the limelight are offered the perfect opportunity to give back, especially after overcoming their own adversities or that of a close family

Mother’s Day should probably be every day. But unfortunately it only comes around once a year. It is the day we all say thank you